今日の臨床サポート 今日の臨床サポート

著者: 大場雄一郎 大阪急性期・総合医療センター 総合内科・感染症科

監修: 上原由紀 順天堂大学医学部臨床検査医学科/総合診療科/微生物学

著者校正/監修レビュー済:2024/06/12
参考ガイドライン:
  1. 米国感染症学会(IDSA):Clinical Practice Guidelines for the Management of Cryptococcal Disease: 2010 Update by the Infectious Diseases Society of America (クリプトコッカス症診療ガイドライン2010年)
  1. ヨーロッパ医真菌学会(ECCM), ヒトと動物の国際真菌学会(ISHAM), 米国微生物学会(ASM):Global guideline for the diagnosis and management of cryptococcosis: an initiative of the ECMM and ISHAM in cooperation with the ASM(クリプトコッカス症国際診療ガイドライン 2024年)
患者向け説明資料

改訂のポイント:
  1. 定期レビューを行い、2023年に本邦で新規に薬価収載されたイサブコナゾニウム硫酸塩(クレセンバ)について加筆した。
  1. イサブコナゾニウム硫酸塩はアゾール系抗真菌薬である。
  1. 同薬剤の添付文書上はクリプトコッカス肺炎が適応症となっているが、治療の有効性に関するエビデンスレベルが低いため、現時点では従来の治療選択肢が使用できない場合の代替選択肢として使用する(Chang CC, et al. Lancet Infect Dis. 2024 Feb 9:S1473-3099(23)00731-4.)。

概要・推奨   

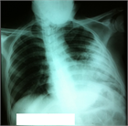
  1. クリプトコッカス肺炎はHIV患者やその他免疫不全患者に多いが、免疫健常者であっても、クリプトコッカス肺炎を除外することはできない(推奨度1)
  1. クリプトコッカス肺炎で、血清クリプトコッカス抗原陽性の場合は、髄液穿刺を行って、髄膜脳炎併発の有無を確認するほうがよい(推奨度2)
  1. 軽症から中等症のクリプトコッカス肺炎で、肺外病変、中枢神経病変が除外されている場合の治療には、フルコナゾール400 mg静注または内服を6~12カ月用いる。重症クリプトコッカス肺炎では、中枢神経が感染している場合と同様に、アムホテリシンB静注を主軸とした初期治療を行う(推奨度2)
アカウントをお持ちの方はログイン
  1. 閲覧にはご契約が必要となります。閲覧にはご契約が必要となります。閲覧にはご契約が必要となります。閲覧
  1. 閲覧にはご契約が必要となります。閲覧にはご契約が必要となります。閲覧にはご契約が必要となります。閲覧にはご契約が必要となります。閲覧にはご契約が必要となります。閲覧にはご契約が必要とな

これより先の閲覧には個人契約のトライアルまたはお申込みが必要です。

最新のエビデンスに基づいた二次文献データベース「今日の臨床サポート」。
常時アップデートされており、最新のエビデンスを各分野のエキスパートが豊富な図表や処方・検査例を交えて分かりやすく解説。日常臨床で遭遇するほぼ全ての症状・疾患から薬剤・検査情報まで瞬時に検索可能です。

まずは15日間無料トライアル
本サイトの知的財産権は全てエルゼビアまたはコンテンツのライセンサーに帰属します。私的利用及び別途規定されている場合を除き、本サイトの利用はいかなる許諾を与えるものでもありません。 本サイト、そのコンテンツ、製品およびサービスのご利用は、お客様ご自身の責任において行ってください。本サイトの利用に基づくいかなる損害についても、エルゼビアは一切の責任及び賠償義務を負いません。 また、本サイトの利用を以て、本サイト利用者は、本サイトの利用に基づき第三者に生じるいかなる損害についても、エルゼビアを免責することに合意したことになります。  本サイトを利用される医学・医療提供者は、独自の臨床的判断を行使するべきです。本サイト利用者の判断においてリスクを正当なものとして受け入れる用意がない限り、コンテンツにおいて提案されている検査または処置がなされるべきではありません。 医学の急速な進歩に鑑み、エルゼビアは、本サイト利用者が診断方法および投与量について、独自に検証を行うことを推奨いたします。
薬剤監修について:
オーダー内の薬剤用量は日本医科大学付属病院 薬剤部 部長 伊勢雄也 以下、渡邉裕次、井ノ口岳洋、梅田将光および日本医科大学多摩永山病院 副薬剤部長 林太祐による疑義照会のプロセスを実施、疑義照会の対象については著者の方による再確認を実施しております。
※薬剤中分類、用法、同効薬、診療報酬は、エルゼビアが独自に作成した薬剤情報であり、 著者により作成された情報ではありません。
尚、用法は添付文書より、同効薬は、薬剤師監修のもとで作成しております。
※同効薬・小児・妊娠および授乳中の注意事項等は、海外の情報も掲載しており、日本の医療事情に適応しない場合があります。
※薬剤情報の(適外/適内/⽤量内/⽤量外/㊜)等の表記は、エルゼビアジャパン編集部によって記載日時にレセプトチェックソフトなどで確認し作成しております。ただし、これらの記載は、実際の保険適応の査定において保険適応及び保険適応外と判断されることを保証するものではありません。また、検査薬、輸液、血液製剤、全身麻酔薬、抗癌剤等の薬剤は保険適応の記載の一部を割愛させていただいています。
(詳細はこちらを参照)
著者のCOI(Conflicts of Interest)開示:
大場雄一郎 : 特に申告事項無し[2025年]
監修:上原由紀 : 特に申告事項無し[2025年]

ページ上部に戻る

戻る

さらなるご利用にはご登録が必要です。

こちらよりご契約または優待日間無料トライアルお申込みをお願いします。

(※トライアルご登録は1名様につき、一度となります)


ご契約の場合はご招待された方だけのご優待特典があります。

以下の優待コードを入力いただくと、

契約期間が通常12ヵ月のところ、14ヵ月ご利用いただけます。

優待コード: (利用期限:まで)

ご契約はこちらから