今日の臨床サポート 今日の臨床サポート

著者: 中野孝司 国家公務員共済組合連合会 大手前病院

監修: 高橋和久 順天堂大学大学院

著者校正済:2025/08/06
現在監修レビュー中
参考ガイドライン:
  1. 日本肺癌学会:肺癌診療ガイドライン―悪性胸膜中皮腫・胸腺腫瘍含む 2024年版
  1. 日本肺癌学会:臨床・病理 肺癌取扱い規約 第9版(2025年)
  1. 日本石綿・中皮腫学会 /日本肺癌学会:中皮腫瘍取扱い規約 第2版(2025年)
  1. NCCN Clinical Practice Guidelines in Oncology:Mesothelioma: Pleural Version 2. 2025
  1. ERS/ESTS/EACTS/ESTRO:Guidelines for the management of malignant pleural mesothelioma. 2020
 
患者向け説明資料

改訂のポイント:
  1. ⽇本肺癌学会『肺癌診療ガイドライン 2024年版』、日本肺癌学会『臨床・病理 肺癌取扱い規約 第9版』、日本石綿・中皮腫学会/日本肺癌学会『中皮腫瘍取扱い規約 第2版』、NCCNガイドライン『中⽪腫:胸膜』(2025年、 Version 2)の改訂を反映させ、中皮腫外科治療法(胸膜切除/肺剝⽪術)の優位性に関するランダム化第III相⽐較試験(MARS2試験、Mesothelioma and Radical Surgery 2)の成績、新たな一次治療法および第9版胸膜中皮腫TNM分類を追記した。主な改訂は以下である。
  1. 今回の改定の最⼤のポイントは、今まで生物統計での有用性の実証がない肉眼的完全切除を行う胸膜中皮腫の外科治療法のランダム化第III相⽐較試験 (MARS2試験)の結果、その優位性が示されず(Lim E, et al. Lancet Respir Med, 2024; 12: 457-66)、むしろ⾮外科治療法のほうが良好との成績が示され、中皮腫外科治療の位置付けを変更する必要が出てきたことである。2025年NCCNガイドライン(Version 2)では、臨床病期I期(第8版)の上皮型中皮腫に対する新たな治療法として、外科治療を行わない全身治療法を選択肢に挙げている。それと併記して、全生存期間の有効性を示す根拠がないことを明記したうえで、従来はI期上皮型の治療の主役であった中皮腫外科治療は、非外科治療と同列の形で治療選択肢に位置付けている。MARS2試験の成績公表後、“Expert Opinion”が多く出されているが、中皮腫外科治療の方向性はまだ定まっていない。今回の改訂ではMARS2試験の結果の解釈の反論も含め、外科治療法の位置付けについて記述した。
  1. TNM分類の第9版の改訂では、T因子が大きく変更され、胸膜肥厚のCT計測値が採用されている。2025年の中皮腫ガイドラインでは、採用論文のすべてに第8版TNM分類が使われているので、本改訂では必要に応じてTNM分類のversionを併記し、また第8版、第9版TNM分類およびそれらのもとになったIMIG分類の対比を表で示した。
  1. IMIG分類は経時的な胸膜中皮腫の発育進展様式に従って分類しているため、発育病態の把握に有用である。本改訂では病態の解説にIMIG分類を併記して用いている。
  1. 胸膜肺全摘術(EPP)後の放射線治療、および、EPPに関わる集学的治療法は、今後、実施される機会がほとんどないので、最⼩限度の記述にとどめた。
  1. 中皮腫の救済制度(公的補助)について、リンク先等を追記した。
 

概要・推奨   

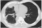
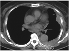
  1. 胸膜中皮腫は壁側胸膜の中皮細胞に初発する難治性腫瘍であり、石綿(アスベスト)曝露と密接に関連して発生する。
  1. 一部の中皮腫は、生殖細胞系列にがん抑制遺伝子であるBAP1遺伝子に変異があり、遺伝的素因が発症に関連している。中皮腫のほかに腎癌、ぶどう膜黒色腫、皮膚黒色腫が併発することがある。
  1. 従来、“悪性”を冠して悪性胸膜中皮腫と呼ばれてきたが、すべての中皮腫は悪性であるため、2021年のWHO分類改定[1]では“悪性”を省くことが序文に明記され、NCCNガイドラインは2023年以降、ガイドラインの表題自体も「悪性胸膜中皮腫」から「中皮腫:胸膜」に変更されている。
アカウントをお持ちの方はログイン
  1. 閲覧にはご契約が必要となります。閲覧にはご契約が必要となります。閲覧にはご契約が必要となります。閲覧にはご契
  1. 胸腔鏡で腫瘍が確認されない最も早期の胸膜中皮腫である”mesothelioma in situ(前浸潤性中皮腫)” の存在は以前から知られていたが、『WHO分類 第5版』に初めて明記された。
  1. 閲覧にはご契約が必要となります。閲覧にはご契約が必要となります。閲覧にはご契約が必要となります。閲覧にはご
  1. 中皮腫は胸膜以外に、腹膜、心膜、および精巣鞘膜に発生する。胸膜発生が最も多い[2]
  1. 閲覧にはご契約が必要となります。閲覧にはご契約が必要となります。閲覧にはご契約が必要となります
  1. 閲覧にはご契約が必要となります。閲覧にはご契約が必要となります。閲覧にはご契約が必要となります。閲覧にはご契約が必要となり
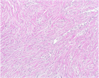
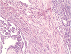
  1. 早期の胸膜中皮腫と反応性中皮細胞増生(反応性中皮過形成)の病理像は類似し、良悪の鑑別は慎重に行う必要がある。BAP1免疫染色、CDKN2A遺伝子の中皮腫でのホモ接合性欠失の検出が鑑別に役立つ。
  1. 閲覧にはご契約が必要となります。閲覧にはご契約が必要となります。閲覧にはご契約が必要となります。閲覧にはご契約が必要となります。閲覧にはご
  1. 閲覧にはご契約が必要となります。閲覧にはご契約が必要となります。閲覧にはご契約が必要となります。閲覧にはご契約が必要となります。閲覧にはご契約が必要となります。閲覧にはご契約が必要となりま す。閲覧には ご契約が必要となります。閲覧にはご契約が必要となります。閲覧にはご契約が必要となります。閲覧にはご契約が必要となります。閲覧にはご契約が必要となり ます。閲覧にはご契約が必要となります。閲覧にはご契約が必要となります。閲覧にはご契約が必要となります。閲覧にはご契約 が必要となります。閲覧にはご契約が必要となります。閲覧にはご契約が必要となります。閲
  1. 閲覧にはご契約が必要となります。閲覧にはご契約 が必要となります。閲覧にはご契約が必要となります。閲 覧にはご契約が必要となります。閲覧にはご契約が必要となります。閲覧にはご契約が必要となります。閲覧にはご契約が必要となります。閲覧にはご契約が必要となります。閲覧にはご契約が必要となります。閲覧にはご契約が必要となります。閲覧にはご契約が必要となります。閲覧にはご契約が必要となります。閲覧にはご契約が必要となります。閲覧にはご契約が必要となります。閲覧にはご契約が必要となります。閲覧にはご契約が必要となります。閲覧にはご契約が必要となり
  1. 閲覧にはご契約が必要となります。閲覧にはご契約が必要となります。閲覧にはご契約が必要となります。閲覧にはご契約が必要となります。閲覧にはご契約が必要となります。閲覧にはご契約が必要となります。閲覧にはご契約が必要となります。閲覧にはご契約が必要となります。閲覧にはご契約が必要となります。閲覧にはご契約が必要となります。閲覧にはご契約が必要となります。閲覧にはご契約が必要となります。閲覧にはご契約が必要となります。閲覧にはご契約が必要となります。閲覧にはご契約が必要となります。閲
  1. 閲覧にはご契約が必要となります。閲覧にはご契約が必要となります。閲覧にはご契約が必要となります。閲覧にはご契約が必要となります。閲覧にはご契約が必要となります。閲覧にはご契約が必要となります。閲覧にはご契約が必要となります。閲覧にはご契約が必要となります。閲覧にはご
  1. 閲覧にはご契約が必要となります。閲覧にはご契約が必要となります。閲覧にはご契約が必要となります。閲覧にはご契約が必要となります。閲覧にはご契約が必要となります。閲覧にはご契約が必要となります。閲覧にはご契約が必要となります。閲覧にはご契約が必要となります。閲覧にはご契約が必要 と なり ます。閲覧にはご契約が 必要となります。閲 覧にはご契約
  1. 閲覧にはご契約が必要となります。閲覧にはご契約が必要となります。閲覧にはご契約が必要となります。閲覧にはご契約が必要となります。閲覧にはご契約が必要となります。閲覧にはご契約が必要となります。閲覧にはご契約が必要となります。閲覧にはご契約が必要となります。
  1. 閲覧にはご契約が必要となります。閲覧にはご契約が必要となります。閲覧にはご契約が必要となります。閲
  1. 閲覧にはご契約が必要となります。閲覧にはご契約が必要となります。閲覧にはご契約が必要となります。閲覧にはご契約が必要となります。閲覧にはご契約が必要とな
  1. 閲覧にはご契約が必要となります。閲覧にはご契約が必要となります。閲覧にはご契約が
閲覧にはご契

これより先の閲覧には個人契約のトライアルまたはお申込みが必要です。

最新のエビデンスに基づいた二次文献データベース「今日の臨床サポート」。
常時アップデートされており、最新のエビデンスを各分野のエキスパートが豊富な図表や処方・検査例を交えて分かりやすく解説。日常臨床で遭遇するほぼ全ての症状・疾患から薬剤・検査情報まで瞬時に検索可能です。

まずは15日間無料トライアル
本サイトの知的財産権は全てエルゼビアまたはコンテンツのライセンサーに帰属します。私的利用及び別途規定されている場合を除き、本サイトの利用はいかなる許諾を与えるものでもありません。 本サイト、そのコンテンツ、製品およびサービスのご利用は、お客様ご自身の責任において行ってください。本サイトの利用に基づくいかなる損害についても、エルゼビアは一切の責任及び賠償義務を負いません。 また、本サイトの利用を以て、本サイト利用者は、本サイトの利用に基づき第三者に生じるいかなる損害についても、エルゼビアを免責することに合意したことになります。  本サイトを利用される医学・医療提供者は、独自の臨床的判断を行使するべきです。本サイト利用者の判断においてリスクを正当なものとして受け入れる用意がない限り、コンテンツにおいて提案されている検査または処置がなされるべきではありません。 医学の急速な進歩に鑑み、エルゼビアは、本サイト利用者が診断方法および投与量について、独自に検証を行うことを推奨いたします。
薬剤監修について:
オーダー内の薬剤用量は日本医科大学付属病院 薬剤部 部長 伊勢雄也 以下、渡邉裕次、井ノ口岳洋、梅田将光および日本医科大学多摩永山病院 副薬剤部長 林太祐による疑義照会のプロセスを実施、疑義照会の対象については著者の方による再確認を実施しております。
※薬剤中分類、用法、同効薬、診療報酬は、エルゼビアが独自に作成した薬剤情報であり、 著者により作成された情報ではありません。
尚、用法は添付文書より、同効薬は、薬剤師監修のもとで作成しております。
※同効薬・小児・妊娠および授乳中の注意事項等は、海外の情報も掲載しており、日本の医療事情に適応しない場合があります。
※薬剤情報の(適外/適内/⽤量内/⽤量外/㊜)等の表記は、エルゼビアジャパン編集部によって記載日時にレセプトチェックソフトなどで確認し作成しております。ただし、これらの記載は、実際の保険適応の査定において保険適応及び保険適応外と判断されることを保証するものではありません。また、検査薬、輸液、血液製剤、全身麻酔薬、抗癌剤等の薬剤は保険適応の記載の一部を割愛させていただいています。
(詳細はこちらを参照)
著者のCOI(Conflicts of Interest)開示:
中野孝司 : 特に申告事項無し[2025年]
監修:高橋和久 : 講演料(アストラゼネカ(株),中外製薬(株)),研究費・助成金など(小野薬品工業(株),中外製薬(株)),奨学(奨励)寄付など(杏林製薬(株))[2025年]

ページ上部に戻る

戻る

さらなるご利用にはご登録が必要です。

こちらよりご契約または優待日間無料トライアルお申込みをお願いします。

(※トライアルご登録は1名様につき、一度となります)


ご契約の場合はご招待された方だけのご優待特典があります。

以下の優待コードを入力いただくと、

契約期間が通常12ヵ月のところ、14ヵ月ご利用いただけます。

優待コード: (利用期限:まで)

ご契約はこちらから