今日の臨床サポート 今日の臨床サポート

著者: 小森学 聖マリアンナ医科大学 耳鼻咽喉科

監修: 小島博己 東京慈恵会医科大学 耳鼻咽喉科

著者校正済:2025/11/26
現在監修レビュー中
患者向け説明資料

改訂のポイント:
  1. 定期レビューを行い、以下について加筆・修正した。
  1. 疾患定義のコンセンサスが得られている急性中耳炎、中耳真珠腫、ANCA関連血管炎性中耳炎以外の中耳慢性炎症性疾患(癒着性中耳炎、慢性穿孔性中耳炎、鼓室硬化症、コレステリン肉芽腫、滲出性中耳炎、アテレクターシス)の用語定義に関して整理した『中耳の慢性炎症性疾患の概念と用語について』が日本耳科学会より公開された[1]。これに基づいて本稿の「概要・推奨」を更新した。
  1. 慢性中耳炎の各種問題解決のため、国際的なイニシアチブ「Healthy Hearing Ears」が結成された。
  1. その中で、鼓室形成術は多くの症例で聴力改善を得るが、耳漏の停止を目的とされることが多く約3割は十分に回復しないことが報告された[2]。特に中耳真珠腫では術後の難聴残存例が多く、再手術や他の補聴デバイス(補聴器・骨導インプラントシステム等)の検討が必要であると結論づけられている[2]
  1. 再手術例では経済的負担が大きく、聴力改善目的のみの再手術には費用対効果の検討が必要とされ、補聴器や骨導インプラントなど手術以外の聴覚リハビリ手段の活用がコスト削減とQOL向上につながる可能性も示唆された[3]

概要・推奨   

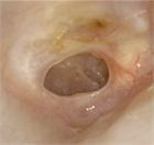
  1. 慢性中耳炎の定義:鼓膜穿孔が3か月以上持続し、耳漏を繰り返す中耳の慢性炎症性疾患を指す。世界的には中耳真珠腫を含む概念であることに留意する(推奨度1、RJ)
  1. 主な原因:急性中耳炎の遷延化・反復、耳管機能不全、副鼻腔炎の合併、不十分な治療、耐性菌感染などが発症に関与する(推奨度1、O)
  1. 診断の基本:鼓膜所見による診断が基本であり、必要に応じて側頭骨CTで含気化や陰影を確認する。中耳真珠腫疑い例ではMRIが有用である(推奨度1、RJ)
アカウントをお持ちの方はログイン
  1. 閲覧にはご契約が必要となります。閲覧にはご契約が必要となります。閲覧にはご契約が必要となります。閲覧にはご契約が必要となります。閲覧にはご契約が
  1. 閲覧にはご契約が必要となります。閲覧にはご契約が必要となります。閲覧にはご契約が必要となります。閲覧にはご契約が必要となります。閲覧にはご契
  1. 閲覧にはご契約が必要となります。閲覧にはご契約が必要となります。閲覧にはご契約が必要となります。閲覧にはご契約が必要となり
  1. 閲覧にはご契約が必要となります。閲覧にはご契約が必要となります。閲覧にはご契約が必要となります。閲覧にはご契約が必要となります。閲覧にはご契約が必要とな
  1. 閲覧にはご契約が必要となります。閲覧にはご契約が必要となります。閲覧にはご契約が必要となります。閲覧にはご契約が必要となります。閲覧にはご契約が必要と
  1. 閲覧にはご契約が必要となります。閲覧にはご契約が必要となります。閲覧にはご契約が必要となります。閲覧にはご契約が必要とな ります。閲覧にはご契約が必要となります。
  1. 閲覧にはご契約が必要となります。閲覧にはご契約が必要となります。閲覧にはご契約が必要となります。閲覧にはご契約が必要となります
  1. 閲覧にはご契約が必要となります。閲覧にはご契約が必要となります。閲覧にはご契約が必要となります。閲覧にはご契約が必
  1. 閲覧にはご契約が必要となります。閲覧にはご契約が必要となります。閲覧にはご契約が必要となります。閲覧にはご契約が必要となり
閲覧にはご契

これより先の閲覧には個人契約のトライアルまたはお申込みが必要です。

最新のエビデンスに基づいた二次文献データベース「今日の臨床サポート」。
常時アップデートされており、最新のエビデンスを各分野のエキスパートが豊富な図表や処方・検査例を交えて分かりやすく解説。日常臨床で遭遇するほぼ全ての症状・疾患から薬剤・検査情報まで瞬時に検索可能です。

まずは15日間無料トライアル
本サイトの知的財産権は全てエルゼビアまたはコンテンツのライセンサーに帰属します。私的利用及び別途規定されている場合を除き、本サイトの利用はいかなる許諾を与えるものでもありません。 本サイト、そのコンテンツ、製品およびサービスのご利用は、お客様ご自身の責任において行ってください。本サイトの利用に基づくいかなる損害についても、エルゼビアは一切の責任及び賠償義務を負いません。 また、本サイトの利用を以て、本サイト利用者は、本サイトの利用に基づき第三者に生じるいかなる損害についても、エルゼビアを免責することに合意したことになります。  本サイトを利用される医学・医療提供者は、独自の臨床的判断を行使するべきです。本サイト利用者の判断においてリスクを正当なものとして受け入れる用意がない限り、コンテンツにおいて提案されている検査または処置がなされるべきではありません。 医学の急速な進歩に鑑み、エルゼビアは、本サイト利用者が診断方法および投与量について、独自に検証を行うことを推奨いたします。
薬剤監修について:
オーダー内の薬剤用量は日本医科大学付属病院 薬剤部 部長 伊勢雄也 以下、渡邉裕次、井ノ口岳洋、梅田将光および日本医科大学多摩永山病院 副薬剤部長 林太祐による疑義照会のプロセスを実施、疑義照会の対象については著者の方による再確認を実施しております。
※薬剤中分類、用法、同効薬、診療報酬は、エルゼビアが独自に作成した薬剤情報であり、 著者により作成された情報ではありません。
尚、用法は添付文書より、同効薬は、薬剤師監修のもとで作成しております。
※同効薬・小児・妊娠および授乳中の注意事項等は、海外の情報も掲載しており、日本の医療事情に適応しない場合があります。
※薬剤情報の(適外/適内/⽤量内/⽤量外/㊜)等の表記は、エルゼビアジャパン編集部によって記載日時にレセプトチェックソフトなどで確認し作成しております。ただし、これらの記載は、実際の保険適応の査定において保険適応及び保険適応外と判断されることを保証するものではありません。また、検査薬、輸液、血液製剤、全身麻酔薬、抗癌剤等の薬剤は保険適応の記載の一部を割愛させていただいています。
(詳細はこちらを参照)
著者のCOI(Conflicts of Interest)開示:
小森学 : 特に申告事項無し[2025年]
監修:小島博己 : 特に申告事項無し[2025年]

ページ上部に戻る

戻る

さらなるご利用にはご登録が必要です。

こちらよりご契約または優待日間無料トライアルお申込みをお願いします。

(※トライアルご登録は1名様につき、一度となります)


ご契約の場合はご招待された方だけのご優待特典があります。

以下の優待コードを入力いただくと、

契約期間が通常12ヵ月のところ、14ヵ月ご利用いただけます。

優待コード: (利用期限:まで)

ご契約はこちらから