今日の臨床サポート 今日の臨床サポート

著者: 瀬山邦明 順天堂大学大学院医学研究科呼吸器内科学

監修: 長瀬隆英 東京大学名誉教授

著者校正/監修レビュー済:2024/05/15
参考ガイドライン:
  1. 日本呼吸器学会・米国胸部医学会:Official American Thoracic Society/Japanese Respiratory Society Clinical Practice Guidelines: Lymphangioleiomyomatosis Diagnosis and Management
  1. 日本呼吸器学会・米国胸部医学会:Lymphangioleiomyomatosis Diagnosis and Management: High-Resolution Chest Computed Tomography, Transbronchial Lung Biopsy, and Pleural Disease Management.
  1. 難治性呼吸器疾患・肺高血圧症に関する調査研究班:LAMを有する成人女性においてmTOR阻害薬は第1選択となりますか?
  1. 難治性呼吸器疾患・肺高血圧症に関する調査研究班:孤発性LAMに伴う腎血管筋脂肪腫においてmTOR阻害薬の投与を考慮しますか?
  1. 難治性呼吸器疾患・肺高血圧症に関する調査研究班:リンパ脈管筋腫症に伴う気胸の再発予防策として胸腔鏡下全胸膜カバリング術は推奨されますか?
  1. 難治性呼吸器疾患・肺高血圧症に関する調査研究班:リンパ脈管筋腫症(LAM)診療の手引き2022
患者向け説明資料

改訂のポイント:
「リンパ脈管筋腫症(LAM)診療の手引き2022」の発行に伴いガイドライン改訂を行った。この手引きは上記参考ガイドライン上から2つ「Official American Thoracic Society/Japanese Respiratory Society Clinical Practice Guidelines」「Lymphangioleiomyomatosis Diagnosis and Management」の日本語訳と国内のエキスパート・オピニオンの2部構成からなっている。したがって、改訂前の診断アルゴリズムの考え方と本質的な差はないが、「リンパ脈管筋腫症(LAM)診療の手引き2022」に記載されているアルゴリズムへ差し替え、指定難病89(リンパ脈管筋腫症)の診断基準に準じた診断区分を追記した。

概要・推奨   

  1. LAMはほぼ女性に限って発症する性差の著しい疾患で、主として妊娠可能年齢の女性に発症する。LAM細胞の増殖と病変内のリンパ管新生により特徴付けられる腫瘍性疾患である。
  1. 労作性の息切れ、気胸、血痰、乳び胸水や腹水などのリンパ系機能異常による症状や所見で発症する。
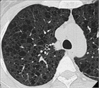
  1. LAMを疑うべき特徴的な臨床像と高分解能胸部CT画像所見を契機とした診断アルゴリズムが示されている。しかし、約20%の症例では非典型的画像所見を示すことがあり注意が必要である。
アカウントをお持ちの方はログイン
  1. 閲覧にはご契約が必要となります。閲覧にはご契約が必要となります。閲覧にはご契約が必要となります。閲覧にはご契約が必要となります。閲覧にはご契約が必要となります。閲覧にはご契約が必要となります。閲覧にはご契約が必要となります。閲覧にはご
  1. 労作性呼吸困難を自覚しFEV1<70%predの気流制限がある、あるいは肺機能が経年的に低下する、あるいは内科的治療で管理困難な乳び胸水や腹水がある症例では、シロリムスを投与する(推奨度1)
  1. 閲覧にはご契約が必要となります。閲覧にはご契約 が必要となります。閲覧にはご契約が必要 となります。閲覧にはご契約が必要となります。閲覧にはご契約が必要となります。閲覧にはご契約が必要となります。閲覧にはご契約が必要となります。閲覧にはご契約が必要となります。閲覧にはご契 約が必要となります。閲覧には
  1. 閲覧にはご契約が必要となります。閲覧にはご契約が必要となります。閲覧にはご契約が必要となります。閲覧にはご契約が必要となります。閲覧にはご契約が必要となります。閲覧にはご契約 が必要となります。閲覧にはご契約が必要となります。閲覧にはご契約が必要となります。閲覧にはご契約が必要となります。閲覧にはご契約が必要となります。閲覧にはご契約
  1. 閲覧にはご契約が必要となります。閲覧にはご契約が必要となります。閲覧にはご契 約が必要となります。閲覧にはご契約が必要となります。閲覧にはご契約が必要となります。閲覧にはご契約が必要
  1. 閲覧にはご契約が必要となります。閲覧にはご契約が必要となります。閲覧にはご契約が必要となります。閲覧にはご契約が必要となります。閲覧 にはご契約が必要となります。閲覧にはご契約が必要となります。閲覧にはご契約が必要となります。閲覧にはご契約が必要となります。閲覧にはご
  1. 閲覧にはご契約が必要となります。閲覧にはご契約が必要となります。閲覧にはご契約が必要となります。閲覧にはご契約が必要となります。閲覧にはご契
  1. 閲覧にはご契約が必要となります。閲覧にはご契約が必要となります。閲覧にはご契約が必要となります。閲覧にはご契約が必要となります。閲覧にはご契約が必要となります。閲覧にはご契約が必要となります。閲覧にはご契約が必要となります。閲覧にはご契約が必要となります。閲覧
  1. 閲覧にはご契約が必要となります。閲覧にはご契約が必要となります。閲覧にはご契約が必要となります。閲覧にはご契約が必要となります。閲覧にはご契約が必要となります。閲覧にはご契約が必要となります。閲覧にはご契約が必要となります。閲覧にはご契約が必要となります。閲覧
  1. 閲覧にはご契約が必要となります。閲覧にはご契約が必要となります。閲覧
  1. 閲覧にはご契約が必要となります。閲覧にはご契約が必要となります。閲覧にはご契約が必要となります。閲覧にはご
閲覧にはご契

これより先の閲覧には個人契約のトライアルまたはお申込みが必要です。

最新のエビデンスに基づいた二次文献データベース「今日の臨床サポート」。
常時アップデートされており、最新のエビデンスを各分野のエキスパートが豊富な図表や処方・検査例を交えて分かりやすく解説。日常臨床で遭遇するほぼ全ての症状・疾患から薬剤・検査情報まで瞬時に検索可能です。

まずは15日間無料トライアル
本サイトの知的財産権は全てエルゼビアまたはコンテンツのライセンサーに帰属します。私的利用及び別途規定されている場合を除き、本サイトの利用はいかなる許諾を与えるものでもありません。 本サイト、そのコンテンツ、製品およびサービスのご利用は、お客様ご自身の責任において行ってください。本サイトの利用に基づくいかなる損害についても、エルゼビアは一切の責任及び賠償義務を負いません。 また、本サイトの利用を以て、本サイト利用者は、本サイトの利用に基づき第三者に生じるいかなる損害についても、エルゼビアを免責することに合意したことになります。  本サイトを利用される医学・医療提供者は、独自の臨床的判断を行使するべきです。本サイト利用者の判断においてリスクを正当なものとして受け入れる用意がない限り、コンテンツにおいて提案されている検査または処置がなされるべきではありません。 医学の急速な進歩に鑑み、エルゼビアは、本サイト利用者が診断方法および投与量について、独自に検証を行うことを推奨いたします。
薬剤監修について:
オーダー内の薬剤用量は日本医科大学付属病院 薬剤部 部長 伊勢雄也 以下、渡邉裕次、井ノ口岳洋、梅田将光および日本医科大学多摩永山病院 副薬剤部長 林太祐による疑義照会のプロセスを実施、疑義照会の対象については著者の方による再確認を実施しております。
※薬剤中分類、用法、同効薬、診療報酬は、エルゼビアが独自に作成した薬剤情報であり、 著者により作成された情報ではありません。
尚、用法は添付文書より、同効薬は、薬剤師監修のもとで作成しております。
※同効薬・小児・妊娠および授乳中の注意事項等は、海外の情報も掲載しており、日本の医療事情に適応しない場合があります。
※薬剤情報の(適外/適内/⽤量内/⽤量外/㊜)等の表記は、エルゼビアジャパン編集部によって記載日時にレセプトチェックソフトなどで確認し作成しております。ただし、これらの記載は、実際の保険適応の査定において保険適応及び保険適応外と判断されることを保証するものではありません。また、検査薬、輸液、血液製剤、全身麻酔薬、抗癌剤等の薬剤は保険適応の記載の一部を割愛させていただいています。
(詳細はこちらを参照)
著者のCOI(Conflicts of Interest)開示:
瀬山邦明 : 特に申告事項無し[2025年]
監修:長瀬隆英 : 特に申告事項無し[2025年]

ページ上部に戻る

戻る

さらなるご利用にはご登録が必要です。

こちらよりご契約または優待日間無料トライアルお申込みをお願いします。

(※トライアルご登録は1名様につき、一度となります)


ご契約の場合はご招待された方だけのご優待特典があります。

以下の優待コードを入力いただくと、

契約期間が通常12ヵ月のところ、14ヵ月ご利用いただけます。

優待コード: (利用期限:まで)

ご契約はこちらから