今日の臨床サポート 今日の臨床サポート

著者: 羽生泰樹 大阪府済生会野江病院 消化器内科

監修: 木下芳一 兵庫県立はりま姫路総合医療センター

著者校正済:2025/05/29
現在監修レビュー中
参考ガイドライン:
日本消化器内視鏡学会: 消化器内視鏡ガイドライン 改訂版第3版
患者向け説明資料

改訂のポイント:
  1. 定期レビューを行い、以下について加筆・修正した。
  1. 食物塊による食道閉塞の基礎疾患として、近年、主に米国から好酸球性食道炎の重要性を指摘する報告があり、疾患情報の項に追加記載した(Fung BM, et al. World J Gastrointest Endosc. 2019 Mar 16;11(3):174-192.)。

概要・推奨   

  1. 消化管内異物は緊急例が多く、予想外の事態が起こり得る病態であり、種々の診療科の協力が必要となる場合がある。
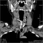
  1. CTは、異物の描出のみならず、縦隔気腫、穿孔、腸閉塞など合併する重篤な病態の評価にも有用であり、可能であればCTの施行が望ましい(推奨度2)
  1. 消化管内異物は内視鏡的に摘出可能な場合が多いが、偶発症の可能性も念頭に置き、予め様々な事態を想定、準備、シミュレーションを行ってから内視鏡的摘出に臨むことが推奨される。

これより先の閲覧には個人契約のトライアルまたはお申込みが必要です。

最新のエビデンスに基づいた二次文献データベース「今日の臨床サポート」。
常時アップデートされており、最新のエビデンスを各分野のエキスパートが豊富な図表や処方・検査例を交えて分かりやすく解説。日常臨床で遭遇するほぼ全ての症状・疾患から薬剤・検査情報まで瞬時に検索可能です。

まずは15日間無料トライアル
本サイトの知的財産権は全てエルゼビアまたはコンテンツのライセンサーに帰属します。私的利用及び別途規定されている場合を除き、本サイトの利用はいかなる許諾を与えるものでもありません。 本サイト、そのコンテンツ、製品およびサービスのご利用は、お客様ご自身の責任において行ってください。本サイトの利用に基づくいかなる損害についても、エルゼビアは一切の責任及び賠償義務を負いません。 また、本サイトの利用を以て、本サイト利用者は、本サイトの利用に基づき第三者に生じるいかなる損害についても、エルゼビアを免責することに合意したことになります。  本サイトを利用される医学・医療提供者は、独自の臨床的判断を行使するべきです。本サイト利用者の判断においてリスクを正当なものとして受け入れる用意がない限り、コンテンツにおいて提案されている検査または処置がなされるべきではありません。 医学の急速な進歩に鑑み、エルゼビアは、本サイト利用者が診断方法および投与量について、独自に検証を行うことを推奨いたします。
薬剤監修について:
オーダー内の薬剤用量は日本医科大学付属病院 薬剤部 部長 伊勢雄也 以下、渡邉裕次、井ノ口岳洋、梅田将光および日本医科大学多摩永山病院 副薬剤部長 林太祐による疑義照会のプロセスを実施、疑義照会の対象については著者の方による再確認を実施しております。
※薬剤中分類、用法、同効薬、診療報酬は、エルゼビアが独自に作成した薬剤情報であり、 著者により作成された情報ではありません。
尚、用法は添付文書より、同効薬は、薬剤師監修のもとで作成しております。
※同効薬・小児・妊娠および授乳中の注意事項等は、海外の情報も掲載しており、日本の医療事情に適応しない場合があります。
※薬剤情報の(適外/適内/⽤量内/⽤量外/㊜)等の表記は、エルゼビアジャパン編集部によって記載日時にレセプトチェックソフトなどで確認し作成しております。ただし、これらの記載は、実際の保険適応の査定において保険適応及び保険適応外と判断されることを保証するものではありません。また、検査薬、輸液、血液製剤、全身麻酔薬、抗癌剤等の薬剤は保険適応の記載の一部を割愛させていただいています。
(詳細はこちらを参照)
著者のCOI(Conflicts of Interest)開示:
羽生泰樹 : 特に申告事項無し[2025年]
監修:木下芳一 : 講演料(武田薬品工業(株),大塚製薬(株),ヴィアトリス製薬(株))[2025年]

ページ上部に戻る

戻る

さらなるご利用にはご登録が必要です。

こちらよりご契約または優待日間無料トライアルお申込みをお願いします。

(※トライアルご登録は1名様につき、一度となります)


ご契約の場合はご招待された方だけのご優待特典があります。

以下の優待コードを入力いただくと、

契約期間が通常12ヵ月のところ、14ヵ月ご利用いただけます。

優待コード: (利用期限:まで)

ご契約はこちらから