今日の臨床サポート 今日の臨床サポート

著者: 沖隆 医療法人社団 盛翔会 浜松北病院 代謝・内分泌内科

監修: 平田結喜緒 公益財団法人 兵庫県予防医学協会 健康ライフプラザ

著者校正/監修レビュー済:2025/03/26
参考ガイドライン:
  1. 日本内分泌学会:間脳下垂体機能障害と先天性腎性尿崩症および関連疾患の診療ガイドライン(2023年版)
患者向け説明資料

改訂のポイント:
  1. 定期レビューを行い、『間脳下垂体機能障害と先天性腎性尿崩症および関連疾患の診療ガイドライン(2023年版)』に準拠した。
  1. また、典型例および難治例の症例を示した。詳細は本文を参照されたい。
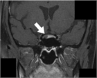
  1. 典型例:微小下垂体PitNETによるクッシング病で、熟達した下垂体外科医による経蝶形骨洞的手術により寛解に至った例である。
  1. 難治例:高コルチゾール血症が強く、大量デキサメタゾン抑制試験でコルチゾールの抑制がみられなかった例である。

概要・推奨   

  1. クッシング病の1次スクリーニング検査である少量デキサメタゾン抑制試験(LDDST)において、わが国では0.5 mg法を欧米では1 mg法を用いている(推奨度1)
  1. クッシング病と異所性ACTH症候群の鑑別に下錐体静脈洞サンプリングが望ましい(推奨度2)
  1. 治療の第1選択は手術療法である(推奨度2)
アカウントをお持ちの方はログイン
  1. 閲覧にはご契約が必要となります。閲覧にはご契約が必要となります。閲
  1. 閲覧にはご契約が必要となります。閲覧にはご契約が必要となります。閲覧にはご契約が必要となります。

これより先の閲覧には個人契約のトライアルまたはお申込みが必要です。

最新のエビデンスに基づいた二次文献データベース「今日の臨床サポート」。
常時アップデートされており、最新のエビデンスを各分野のエキスパートが豊富な図表や処方・検査例を交えて分かりやすく解説。日常臨床で遭遇するほぼ全ての症状・疾患から薬剤・検査情報まで瞬時に検索可能です。

まずは15日間無料トライアル
本サイトの知的財産権は全てエルゼビアまたはコンテンツのライセンサーに帰属します。私的利用及び別途規定されている場合を除き、本サイトの利用はいかなる許諾を与えるものでもありません。 本サイト、そのコンテンツ、製品およびサービスのご利用は、お客様ご自身の責任において行ってください。本サイトの利用に基づくいかなる損害についても、エルゼビアは一切の責任及び賠償義務を負いません。 また、本サイトの利用を以て、本サイト利用者は、本サイトの利用に基づき第三者に生じるいかなる損害についても、エルゼビアを免責することに合意したことになります。  本サイトを利用される医学・医療提供者は、独自の臨床的判断を行使するべきです。本サイト利用者の判断においてリスクを正当なものとして受け入れる用意がない限り、コンテンツにおいて提案されている検査または処置がなされるべきではありません。 医学の急速な進歩に鑑み、エルゼビアは、本サイト利用者が診断方法および投与量について、独自に検証を行うことを推奨いたします。
薬剤監修について:
オーダー内の薬剤用量は日本医科大学付属病院 薬剤部 部長 伊勢雄也 以下、渡邉裕次、井ノ口岳洋、梅田将光および日本医科大学多摩永山病院 副薬剤部長 林太祐による疑義照会のプロセスを実施、疑義照会の対象については著者の方による再確認を実施しております。
※薬剤中分類、用法、同効薬、診療報酬は、エルゼビアが独自に作成した薬剤情報であり、 著者により作成された情報ではありません。
尚、用法は添付文書より、同効薬は、薬剤師監修のもとで作成しております。
※同効薬・小児・妊娠および授乳中の注意事項等は、海外の情報も掲載しており、日本の医療事情に適応しない場合があります。
※薬剤情報の(適外/適内/⽤量内/⽤量外/㊜)等の表記は、エルゼビアジャパン編集部によって記載日時にレセプトチェックソフトなどで確認し作成しております。ただし、これらの記載は、実際の保険適応の査定において保険適応及び保険適応外と判断されることを保証するものではありません。また、検査薬、輸液、血液製剤、全身麻酔薬、抗癌剤等の薬剤は保険適応の記載の一部を割愛させていただいています。
(詳細はこちらを参照)
著者のCOI(Conflicts of Interest)開示:
沖隆 : 特に申告事項無し[2024年]
監修:平田結喜緒 : 特に申告事項無し[2025年]

ページ上部に戻る

戻る

さらなるご利用にはご登録が必要です。

こちらよりご契約または優待日間無料トライアルお申込みをお願いします。

(※トライアルご登録は1名様につき、一度となります)


ご契約の場合はご招待された方だけのご優待特典があります。

以下の優待コードを入力いただくと、

契約期間が通常12ヵ月のところ、14ヵ月ご利用いただけます。

優待コード: (利用期限:まで)

ご契約はこちらから