今日の臨床サポート 今日の臨床サポート

著者: 和田耕一郎 島根大学医学部 泌尿器科学講座

監修: 中川昌之 公益財団法人 慈愛会 今村総合病院 泌尿器科顧問

著者校正/監修レビュー済:2025/02/26
参考ガイドライン:
  1. 日本小児泌尿器科学会:小児先天性水腎症(腎盂尿管移行部通過障害)診療手引き 2021アップデート
  1. 日本泌尿器科学会/日本尿路結石症学会/日本泌尿器内視鏡・ロボティクス学会:尿路結石症診療ガイドライン 第3版(2023年)
  1. 日本泌尿器科学会:腎盂・尿管癌診療ガイドライン 2023年版
患者向け説明資料

改訂のポイント:
  1. 『小児先天性水腎症(腎盂尿管移行部通過障害)診療手引き 2021アップデート』、『尿路結石症診療ガイドライン 第3版』、『腎盂・尿管癌診療ガイドライン 2023年版』を参照し、以下について加筆・修正した。
  1. 疾患情報
  1. 評価・鑑別のポイント
  1. 水腎症の原因病態に対する治療
  1. 先天性水腎症に関連するロボット支援手術
  1. 腎・尿管結石、腎盂尿管腫瘍に対するロボット支援手術を含めた術式の推奨
  1. 全面的に記述および用語の調整を行った

概要・推奨   

  1. 急性と慢性の水腎症では症状が異なり、結石などに伴う急性の場合には腰背部・側腹部痛を伴うことが多いが、腫瘍や下部尿路閉塞に伴って緩徐に生じる水腎症は無症状なことが多い。
  1. 水腎症のうち、腎機能低下、高カリウム血症、感染(閉塞性腎盂腎炎)を伴う場合は致命的となり得るので、診断と治療には特に急を要する。
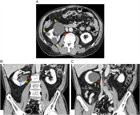
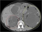
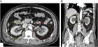
  1. 片側の腰背部痛や側腹部痛では水腎症を念頭に置き、まず超音波検査を行い、尿路閉塞の位置と原因を同定するには単純CTを撮影する。
アカウントをお持ちの方はログイン
  1. 閲覧にはご契約が必要となります。閲覧にはご契約が必要となります。閲覧にはご契約が必要となります。閲覧にはご契約が必要となります。閲覧にはご契約が必要となります。閲覧には
  1. 閲覧にはご契約が必要となります。閲覧にはご契約が必要となります。閲覧にはご契約が必要となります。閲覧にはご契約が必要となります。閲覧にはご契約が必要となります。閲覧に
  1. 閲覧にはご契約が必要となります。閲覧にはご契約が必要となります。閲覧にはご契約が必要となります。閲覧にはご契約が必要となります。閲覧にはご契約が必要となり ます。閲覧にはご契約が必要と
  1. 閲覧にはご契約が必要となります。閲覧にはご契約が必要となります。閲覧にはご契約が必要
  1. 閲覧にはご契約が必要となります。閲覧にはご契約が必要となります。閲覧にはご契約が必要となります。閲覧にはご契約が必要となります。閲覧にはご契約が必要となります。閲
  1. 閲覧にはご契約が必要となります。閲覧にはご契約が必要となります。閲覧にはご契約が必要となります。閲覧にはご契約が必要となります。閲覧にはご契約が必要となります。閲覧にはご契約が必要となります。閲覧にはご契約が必要となりま

これより先の閲覧には個人契約のトライアルまたはお申込みが必要です。

最新のエビデンスに基づいた二次文献データベース「今日の臨床サポート」。
常時アップデートされており、最新のエビデンスを各分野のエキスパートが豊富な図表や処方・検査例を交えて分かりやすく解説。日常臨床で遭遇するほぼ全ての症状・疾患から薬剤・検査情報まで瞬時に検索可能です。

まずは15日間無料トライアル
本サイトの知的財産権は全てエルゼビアまたはコンテンツのライセンサーに帰属します。私的利用及び別途規定されている場合を除き、本サイトの利用はいかなる許諾を与えるものでもありません。 本サイト、そのコンテンツ、製品およびサービスのご利用は、お客様ご自身の責任において行ってください。本サイトの利用に基づくいかなる損害についても、エルゼビアは一切の責任及び賠償義務を負いません。 また、本サイトの利用を以て、本サイト利用者は、本サイトの利用に基づき第三者に生じるいかなる損害についても、エルゼビアを免責することに合意したことになります。  本サイトを利用される医学・医療提供者は、独自の臨床的判断を行使するべきです。本サイト利用者の判断においてリスクを正当なものとして受け入れる用意がない限り、コンテンツにおいて提案されている検査または処置がなされるべきではありません。 医学の急速な進歩に鑑み、エルゼビアは、本サイト利用者が診断方法および投与量について、独自に検証を行うことを推奨いたします。
薬剤監修について:
オーダー内の薬剤用量は日本医科大学付属病院 薬剤部 部長 伊勢雄也 以下、渡邉裕次、井ノ口岳洋、梅田将光および日本医科大学多摩永山病院 副薬剤部長 林太祐による疑義照会のプロセスを実施、疑義照会の対象については著者の方による再確認を実施しております。
※薬剤中分類、用法、同効薬、診療報酬は、エルゼビアが独自に作成した薬剤情報であり、 著者により作成された情報ではありません。
尚、用法は添付文書より、同効薬は、薬剤師監修のもとで作成しております。
※同効薬・小児・妊娠および授乳中の注意事項等は、海外の情報も掲載しており、日本の医療事情に適応しない場合があります。
※薬剤情報の(適外/適内/⽤量内/⽤量外/㊜)等の表記は、エルゼビアジャパン編集部によって記載日時にレセプトチェックソフトなどで確認し作成しております。ただし、これらの記載は、実際の保険適応の査定において保険適応及び保険適応外と判断されることを保証するものではありません。また、検査薬、輸液、血液製剤、全身麻酔薬、抗癌剤等の薬剤は保険適応の記載の一部を割愛させていただいています。
(詳細はこちらを参照)
著者のCOI(Conflicts of Interest)開示:
和田耕一郎 : 講演料(ヤンセンファーマ(株))[2024年]
監修:中川昌之 : 特に申告事項無し[2025年]

ページ上部に戻る

戻る

さらなるご利用にはご登録が必要です。

こちらよりご契約または優待日間無料トライアルお申込みをお願いします。

(※トライアルご登録は1名様につき、一度となります)


ご契約の場合はご招待された方だけのご優待特典があります。

以下の優待コードを入力いただくと、

契約期間が通常12ヵ月のところ、14ヵ月ご利用いただけます。

優待コード: (利用期限:まで)

ご契約はこちらから