今日の臨床サポート 今日の臨床サポート

著者: 藤堂謙一 東京女子医科大学 脳神経内科

監修: 永山正雄 国際医療福祉大学大学院医学研究科・医学部成田病院脳神経内科学 教授

著者校正/監修レビュー済:2025/10/29
参考ガイドライン:
  1. 日本脳卒中学会:脳卒中治療ガイドライン2021〔改訂2025〕
患者向け説明資料

改訂のポイント:
  1. 定期レビューを行い、下記の点を加筆・修正した。
  1. 稀な病態である交叉性片麻痺の記載を削除した。
  1. 近年では機能性神経障害と呼ぶことが多く、ヒステリー性片麻痺の記載を機能性片麻痺と修正した。機能性神経障害の診断方法はさまざまなものが提唱されており、頚部回旋についてのみの記載を削除した。
  1. 不全片麻痺に失調が伴うかどうかの判断は意見が分かれることも多いため、診断に必須ではないこともあり、削除した。
  1. 一過性の片麻痺では一過性脳虚血発作を疑って頭部MRI検査をすみやかに実施すべきであるが、頭部MRIをすみやかに実施できない場合でも、脳出血やくも膜下出血の鑑別のため、少なくともCT検査をすみやかに実施したうえで抗血栓療法を開始すべきである点に言及した。
  1. 片麻痺ではない非典型的な一過性神経症状の場合、各種検査で原因疾患やリスク因子がなく「脳虚血」発作ではなかったと判断される場合、出血合併症リスクも考慮のうえ、いったん開始した抗血栓療法の妥当性を再検討すべきである点に言及した。
  1. アルテプラーゼ静注療法、機械的血栓回収療法とも、適応時間内であっても治療開始が早いほど治療効果は大きいため、迅速に実施するべきであることを追記した。
  1. 多発性硬化症、視神経脊髄炎に加えて、MOG抗体関連疾患について追記した。
  1. 髄膜炎・脳炎の診断方法として脳脊髄液多項目PCRパネル(FilmArray® MEパネル)が2022年9月に保険収載され、新規に記載した。
  1. 『脳卒中治療ガイドライン2021〔改訂2025〕』が公表されたが、本稿に関連する記載はなかった。

概要・推奨   

  1. 脳卒中の初発症候の多くは片麻痺である。片麻痺が突然発症した場合、脳卒中発症を第一に考えて検査、治療を勧めるのが妥当である(推奨度2)
  1. 片麻痺が突然発症し、脳CT検査を施行し脳出血が除外されれば、脳梗塞急性期と判断し発症後4.5時間以内であれば適用基準を遵守して血栓溶解薬(アルテプラーゼ)を投与することが推奨される(推奨度1)。また発症6時間以内の脳主幹動脈閉塞症例ではアルテプラーゼ静注療法を含む内科治療に追加して機械的血栓回収療法を開始することが推奨される(推奨度1)。いずれも治療開始が早いほど治療効果は大きいため、迅速に実施する(推奨度1)。発症6時間以後の脳主幹動脈閉塞症例では神経徴候と画像診断に基づく治療適応判定を行い16時間以内に血栓回収療法を開始することが勧められる(推奨度1)。また16~24時間以内に同療法を開始することは妥当である(推奨度2)
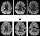
  1. 片麻痺を数分以上生じた一過性脳虚血発作の患者には、すみやかに脳MRI検査(拡散強調画像)を施行することが勧められる(推奨度1)。脳MRI検査をすみやかに実施できない場合でも、少なくとも脳CT検査を試行して脳出血を除外したうえで抗血栓治療を開始し、可及的早期に脳MRI検査を実施する(推奨度1)
アカウントをお持ちの方はログイン
  1. 一過性の上下肢脱力発作を主訴とし、一過性脳虚血発作が疑われる症例では、ABCD2スコアが脳卒中発症リスクの予測に有用である(推奨度2)
  1. 閲覧にはご契約が必要となります。閲覧にはご契約が必要となります。閲覧にはご契約が必要となります。閲覧にはご契約が必要となります。閲覧にはご契約が必要となります
  1. 閲覧にはご契約が必要となります。閲覧にはご契約が必要となります。閲覧にはご契約が必要となります。閲覧にはご契約が必要とな
  1. 閲覧にはご契約が必要となります。閲覧にはご契約が必要となります。閲覧にはご契約が必要となります。閲覧にはご契約が
  1. 閲覧にはご契約が必要となります。閲覧にはご契約が必要となります。閲覧にはご契約が必要となります。閲覧にはご契約が必要となります。閲覧に
  1. 閲覧にはご契約が必要となります。閲覧にはご契約が必要となります。閲覧にはご契約が必要となり

これより先の閲覧には個人契約のトライアルまたはお申込みが必要です。

最新のエビデンスに基づいた二次文献データベース「今日の臨床サポート」。
常時アップデートされており、最新のエビデンスを各分野のエキスパートが豊富な図表や処方・検査例を交えて分かりやすく解説。日常臨床で遭遇するほぼ全ての症状・疾患から薬剤・検査情報まで瞬時に検索可能です。

まずは15日間無料トライアル
本サイトの知的財産権は全てエルゼビアまたはコンテンツのライセンサーに帰属します。私的利用及び別途規定されている場合を除き、本サイトの利用はいかなる許諾を与えるものでもありません。 本サイト、そのコンテンツ、製品およびサービスのご利用は、お客様ご自身の責任において行ってください。本サイトの利用に基づくいかなる損害についても、エルゼビアは一切の責任及び賠償義務を負いません。 また、本サイトの利用を以て、本サイト利用者は、本サイトの利用に基づき第三者に生じるいかなる損害についても、エルゼビアを免責することに合意したことになります。  本サイトを利用される医学・医療提供者は、独自の臨床的判断を行使するべきです。本サイト利用者の判断においてリスクを正当なものとして受け入れる用意がない限り、コンテンツにおいて提案されている検査または処置がなされるべきではありません。 医学の急速な進歩に鑑み、エルゼビアは、本サイト利用者が診断方法および投与量について、独自に検証を行うことを推奨いたします。
薬剤監修について:
オーダー内の薬剤用量は日本医科大学付属病院 薬剤部 部長 伊勢雄也 以下、渡邉裕次、井ノ口岳洋、梅田将光および日本医科大学多摩永山病院 副薬剤部長 林太祐による疑義照会のプロセスを実施、疑義照会の対象については著者の方による再確認を実施しております。
※薬剤中分類、用法、同効薬、診療報酬は、エルゼビアが独自に作成した薬剤情報であり、 著者により作成された情報ではありません。
尚、用法は添付文書より、同効薬は、薬剤師監修のもとで作成しております。
※同効薬・小児・妊娠および授乳中の注意事項等は、海外の情報も掲載しており、日本の医療事情に適応しない場合があります。
※薬剤情報の(適外/適内/⽤量内/⽤量外/㊜)等の表記は、エルゼビアジャパン編集部によって記載日時にレセプトチェックソフトなどで確認し作成しております。ただし、これらの記載は、実際の保険適応の査定において保険適応及び保険適応外と判断されることを保証するものではありません。また、検査薬、輸液、血液製剤、全身麻酔薬、抗癌剤等の薬剤は保険適応の記載の一部を割愛させていただいています。
(詳細はこちらを参照)
著者のCOI(Conflicts of Interest)開示:
監修:永山正雄 : 特に申告事項無し[2025年]

ページ上部に戻る

戻る

さらなるご利用にはご登録が必要です。

こちらよりご契約または優待日間無料トライアルお申込みをお願いします。

(※トライアルご登録は1名様につき、一度となります)


ご契約の場合はご招待された方だけのご優待特典があります。

以下の優待コードを入力いただくと、

契約期間が通常12ヵ月のところ、14ヵ月ご利用いただけます。

優待コード: (利用期限:まで)

ご契約はこちらから