今日の臨床サポート 今日の臨床サポート

著者: 柏木秀幸 前橋城南病院

監修: 木下芳一 兵庫県立はりま姫路総合医療センター

著者校正/監修レビュー済:2024/05/15
患者向け説明資料

改訂のポイント:
  1. 2019年海外のガイドライン(Esophageal emergencies: WSES guidelines)の見直しや最近の文献の知見を確認し、レビューを行った。
  1. 疫学に関する見直し
  1. 食道穿孔の発生頻度に関して、アイスランドからの報告では3.1人/100万人/年である(Vidarsdottir H, et al. Thorac Cardiovasc Surg. 2010 Dec;58(8):476-80.)。
  1. 我が国では、厚生労働省の社会医療診療行為別統計(2011年~2022年)によると、食道縫合術(穿孔、損傷)(K520)は年間に、頸部手術平均値65件(中央値60件)、開胸手術93件(72件)、開腹手術48件(60件)が行われ、総計で年間223件(228件)が行われている。
  1. 日本食道学会の「特発性食道破裂」に関する全国調査の反映
  1. 特発性食道破裂は、その発生機序に関係した前駆症状としての嘔吐が見られるが、前駆症状がない例も知られている。日本食道学会の全国調査では、前駆症状のない例が17.3%に見られ、このグループでは誤診や診断・治療の遅れが起こりやすく予後不良となる特徴を有している(Sohda M, et al. Esophagus. 2021 Jul;18(3):663-668.)。
  1. ステント治療、吸引療法のアップデート
  1. 内視鏡下のステント治療、吸引療法は、食道穿孔に対し、我が国では保険適応外であるが、海外ではその有用性や製品に関する報告が増えている。食道穿孔治療に特化した製品化(EsoSPONGETM,MICRO-TECH Europe GmbH, Dusseldorf, Germany)が行われており、医原性穿孔に比べると、特発性破裂での成功率は劣るが、有用で実行可能性の高い治療となることが期待される。両者を組み合わせた吸引ステント(VACStent, ,MICRO-TECH Europe GmbH, Dusseldorf, Germany)の有用性に関する報告が行われるようになった(Luttikhold J, et al. Endoscopy. 2023 Sep;55(9):859-864.、Pattynama LMD, et al. Front Surg. 2023 Feb 22;10:1145984.)。

概要・推奨   

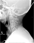
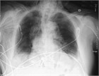
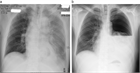
  1. 食道破裂(esophageal rupture)、食道穿孔(esophageal perforation)や食道断裂(esophageal disruption)とは、食道壁に全層性に断裂(disruption)や損傷(trauma、injury)が生じた状態である。
  1. 食道破裂(穿孔)は原因により、①特発性、②医原性、③外傷後性、④異物性、⑤化学的、⑥食道疾患によるものに分けられる。
  1. 胸痛、呼吸困難、ショックなどの症状を呈する。
アカウントをお持ちの方はログイン
  1. 閲覧にはご契約が必要となります。閲覧にはご契約が必要となります。閲覧にはご契約が必要となります。閲覧に
  1. 閲覧にはご契約が必要となります。閲覧にはご契約が必要となります。閲覧にはご契約が必要となり
  1. 閲覧にはご契約が必要となります。閲覧にはご契約が必要となります。閲覧にはご契約が必要となります。閲覧にはご契約が必要となります。閲覧にはご
  1. 閲覧にはご契約が必要となります。閲覧にはご契約が必要となります。閲覧にはご契約が必要となります。閲
  1. 閲覧にはご契約が必要となります。閲覧にはご契約が必要となります。閲覧にはご契約が必要となりま
  1. 閲覧にはご契約が必要となります。閲覧にはご契約が必要
  1. 閲覧にはご契約が必要となります。閲覧にはご契約が必要となります。閲覧にはご契約が必要となります
  1. 閲覧にはご契約が必要となります。閲覧にはご契約が必要となります。閲覧にはご契約が必要となります。閲覧にはご契
  1. 閲覧にはご契約が必要となります。閲覧にはご契約が必要となりま
  1. 閲覧にはご契約が必要となります。閲覧にはご契約が必要となります。閲覧にはご契約が必要となります。閲覧にはご契約が必要となります
  1. 閲覧にはご契約が必要となります。閲覧にはご契約が必要となります。閲覧にはご契約が必要となります。閲覧にはご契約が必要となります。閲覧にはご契約が必要となります。閲覧にはご契約が必要となります。閲覧にはご契

これより先の閲覧には個人契約のトライアルまたはお申込みが必要です。

最新のエビデンスに基づいた二次文献データベース「今日の臨床サポート」。
常時アップデートされており、最新のエビデンスを各分野のエキスパートが豊富な図表や処方・検査例を交えて分かりやすく解説。日常臨床で遭遇するほぼ全ての症状・疾患から薬剤・検査情報まで瞬時に検索可能です。

まずは15日間無料トライアル
本サイトの知的財産権は全てエルゼビアまたはコンテンツのライセンサーに帰属します。私的利用及び別途規定されている場合を除き、本サイトの利用はいかなる許諾を与えるものでもありません。 本サイト、そのコンテンツ、製品およびサービスのご利用は、お客様ご自身の責任において行ってください。本サイトの利用に基づくいかなる損害についても、エルゼビアは一切の責任及び賠償義務を負いません。 また、本サイトの利用を以て、本サイト利用者は、本サイトの利用に基づき第三者に生じるいかなる損害についても、エルゼビアを免責することに合意したことになります。  本サイトを利用される医学・医療提供者は、独自の臨床的判断を行使するべきです。本サイト利用者の判断においてリスクを正当なものとして受け入れる用意がない限り、コンテンツにおいて提案されている検査または処置がなされるべきではありません。 医学の急速な進歩に鑑み、エルゼビアは、本サイト利用者が診断方法および投与量について、独自に検証を行うことを推奨いたします。
薬剤監修について:
オーダー内の薬剤用量は日本医科大学付属病院 薬剤部 部長 伊勢雄也 以下、渡邉裕次、井ノ口岳洋、梅田将光および日本医科大学多摩永山病院 副薬剤部長 林太祐による疑義照会のプロセスを実施、疑義照会の対象については著者の方による再確認を実施しております。
※薬剤中分類、用法、同効薬、診療報酬は、エルゼビアが独自に作成した薬剤情報であり、 著者により作成された情報ではありません。
尚、用法は添付文書より、同効薬は、薬剤師監修のもとで作成しております。
※同効薬・小児・妊娠および授乳中の注意事項等は、海外の情報も掲載しており、日本の医療事情に適応しない場合があります。
※薬剤情報の(適外/適内/⽤量内/⽤量外/㊜)等の表記は、エルゼビアジャパン編集部によって記載日時にレセプトチェックソフトなどで確認し作成しております。ただし、これらの記載は、実際の保険適応の査定において保険適応及び保険適応外と判断されることを保証するものではありません。また、検査薬、輸液、血液製剤、全身麻酔薬、抗癌剤等の薬剤は保険適応の記載の一部を割愛させていただいています。
(詳細はこちらを参照)
著者のCOI(Conflicts of Interest)開示:
柏木秀幸 : 特に申告事項無し[2024年]
監修:木下芳一 : 講演料(武田薬品工業(株),大塚製薬(株),ヴィアトリス製薬(株))[2025年]

ページ上部に戻る

戻る

さらなるご利用にはご登録が必要です。

こちらよりご契約または優待日間無料トライアルお申込みをお願いします。

(※トライアルご登録は1名様につき、一度となります)


ご契約の場合はご招待された方だけのご優待特典があります。

以下の優待コードを入力いただくと、

契約期間が通常12ヵ月のところ、14ヵ月ご利用いただけます。

優待コード: (利用期限:まで)

ご契約はこちらから