今日の臨床サポート 今日の臨床サポート

著者: 石村典久 島根大学 第2内科

監修: 木下芳一 兵庫県立はりま姫路総合医療センター

著者校正/監修レビュー済:2025/01/15
参考ガイドライン:
  1. 厚生労働省好酸球性消化管疾患研究班:幼児・成人好酸球性消化管疾患診療ガイドライン(2020年9月14日)
  1. Guidelines on eosinophilic esophagitis:evidence-based statements and recommendations for diagnosis and management in children and adults. United European Gastroenterol J. 2017;5:335-358.
  1. Updated International Consensus Diagnostic Criteria for Eosinophilic Esophagitis:Proceedings of the AGREE Conference. Gastroenterology. 2018;155:1022-1033.
患者向け説明資料

改訂のポイント:
  1. 定期レビューを行い、以下について加筆・修正した。
  1. 病態:
    ・食道粘膜の透過性亢進が食道上皮における免疫応答に影響し、好酸球性食道炎の病態形成に重要であると考えられている。食道内インピーダンス検査を行うと、好酸球性食道炎例ではインピーダンス値の低下がみられ、粘膜の透過性が亢進していることが示されている。
    ・検診において特徴的な内視鏡像と生検から好酸球浸潤を認めるものの、症状のない、無症候性食道好酸球浸潤と診断される症例が増えている。無症状の場合、診断基準を満たさないが、好酸球性食道炎と臨床像や内視鏡像、病理像には差がないことが示されている(Suzuki Y, et al. Intern Med. 2022 May 1;61(9):1319-1327、Ishimura N, et al. Clin Gastroenterol Hepatol. 2019 Jun;17(7):1405-1407.)。
  1. 難治症例の治療:米国および欧州ではヒト型抗ヒトIL-4/13受容体モノクローナル抗体であるデュピルマブが好酸球性食道炎の治療薬として承認されている(国内未承認)。

概要・推奨   

概要:
  1. 好酸球性食道炎は、食道上皮に好酸球浸潤を伴う慢性炎症が生じることによって、嚥下障害や食事のつかえなどを生じるアレルギー疾患であり、近年増加傾向にある。
  1. 30~50歳代の男性に好発する(男女比は約4:1)。
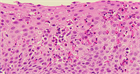
  1. 食道障害に起因する症状(つかえ感など)を有する患者に内視鏡検査を行い、生検で高倍率視野あたり15個以上の好酸球浸潤を認め、他疾患が除外された際に診断される。
アカウントをお持ちの方はログイン
閲覧にはご契
閲覧に
  1. 閲覧にはご契約が必要となります。閲覧にはご契約が必要となります。閲覧にはご契約が必要となります。閲覧にはご契約が必要となり
  1. 閲覧にはご契約が必要となります。閲覧にはご契約が必要となります。閲覧にはご契約が必要となります。閲覧にはご契約が必要となります。閲覧にはご契約が必要となります。閲覧にはご契約が必要となります。閲覧にはご契約が必要となります。閲覧にはご契約が必要
  1. 閲覧にはご契約が必要となります。閲覧にはご契約が必要となります。閲覧にはご契約が必要となります。閲覧
  1. 閲覧にはご契約が必要となります。 閲覧にはご契約が必要となります。閲覧にはご契約が必要となります。閲覧にはご契約が
  1. 閲覧にはご契約が必要となります。閲覧にはご契約が必要となります。閲覧にはご契約が必要となります。閲

これより先の閲覧には個人契約のトライアルまたはお申込みが必要です。

最新のエビデンスに基づいた二次文献データベース「今日の臨床サポート」。
常時アップデートされており、最新のエビデンスを各分野のエキスパートが豊富な図表や処方・検査例を交えて分かりやすく解説。日常臨床で遭遇するほぼ全ての症状・疾患から薬剤・検査情報まで瞬時に検索可能です。

まずは15日間無料トライアル
本サイトの知的財産権は全てエルゼビアまたはコンテンツのライセンサーに帰属します。私的利用及び別途規定されている場合を除き、本サイトの利用はいかなる許諾を与えるものでもありません。 本サイト、そのコンテンツ、製品およびサービスのご利用は、お客様ご自身の責任において行ってください。本サイトの利用に基づくいかなる損害についても、エルゼビアは一切の責任及び賠償義務を負いません。 また、本サイトの利用を以て、本サイト利用者は、本サイトの利用に基づき第三者に生じるいかなる損害についても、エルゼビアを免責することに合意したことになります。  本サイトを利用される医学・医療提供者は、独自の臨床的判断を行使するべきです。本サイト利用者の判断においてリスクを正当なものとして受け入れる用意がない限り、コンテンツにおいて提案されている検査または処置がなされるべきではありません。 医学の急速な進歩に鑑み、エルゼビアは、本サイト利用者が診断方法および投与量について、独自に検証を行うことを推奨いたします。
薬剤監修について:
オーダー内の薬剤用量は日本医科大学付属病院 薬剤部 部長 伊勢雄也 以下、渡邉裕次、井ノ口岳洋、梅田将光および日本医科大学多摩永山病院 副薬剤部長 林太祐による疑義照会のプロセスを実施、疑義照会の対象については著者の方による再確認を実施しております。
※薬剤中分類、用法、同効薬、診療報酬は、エルゼビアが独自に作成した薬剤情報であり、 著者により作成された情報ではありません。
尚、用法は添付文書より、同効薬は、薬剤師監修のもとで作成しております。
※同効薬・小児・妊娠および授乳中の注意事項等は、海外の情報も掲載しており、日本の医療事情に適応しない場合があります。
※薬剤情報の(適外/適内/⽤量内/⽤量外/㊜)等の表記は、エルゼビアジャパン編集部によって記載日時にレセプトチェックソフトなどで確認し作成しております。ただし、これらの記載は、実際の保険適応の査定において保険適応及び保険適応外と判断されることを保証するものではありません。また、検査薬、輸液、血液製剤、全身麻酔薬、抗癌剤等の薬剤は保険適応の記載の一部を割愛させていただいています。
(詳細はこちらを参照)
著者のCOI(Conflicts of Interest)開示:
石村典久 : 講演料(武田薬品工業(株))[2025年]
監修:木下芳一 : 講演料(武田薬品工業(株),大塚製薬(株),ヴィアトリス製薬(株))[2025年]

ページ上部に戻る

戻る

さらなるご利用にはご登録が必要です。

こちらよりご契約または優待日間無料トライアルお申込みをお願いします。

(※トライアルご登録は1名様につき、一度となります)


ご契約の場合はご招待された方だけのご優待特典があります。

以下の優待コードを入力いただくと、

契約期間が通常12ヵ月のところ、14ヵ月ご利用いただけます。

優待コード: (利用期限:まで)

ご契約はこちらから